Aug. 2021: Aus dem Gebiet der Fußchirurgie

Diagnose: Hallux valgus, Metatarsalgie
Therapie: distale Umstellung am MT1, Osteotomie an MT 2-4
Vorwurf: Beanstandet wird das Ergebnis der operativen Korrektur; der operierte Fuß sei nicht belastbar. Es bestehe eine schmerzhafte Schwellneigung, die zu Problemen beim Tragen von Schuhen führe. Der lange Lohnausfall sei der fehlerhaft durchgeführten Operation zuzuschreiben.

Sachverhalt

Vorstellung in der beklagten Klinik wegen einer Metatarsalgie mit gleichzeitig bestehenden Hallux valgus links.

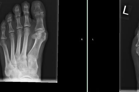
Die operative Korrektur, bei der Umstellungsosteotomien an den Mittelfußknochen 1-4 links durchgeführt wurden, erfolgte im Mai 2018.

Nach primärer Wundheilung stellte sich die Patientin im November 2018 in einer anderen Einrichtung vor und beklagte eine objektivierbare erhebliche Schwellung und Bewegungseinschränkung des Großzehengrundgelenkes und der Grundgelenke der Zehen 2-4, so dass Krankengymnastik verordnet wurde.

Eine CT Untersuchung ergab eine zeitgerechte Knochenheilung.

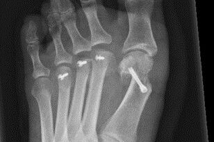
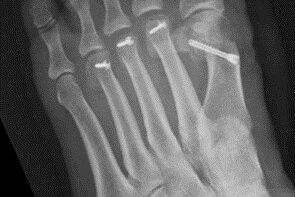
Bei anhaltenden Beschwerden wurde im Mai 2019 eine Röntgenaufnahme durchgeführt, die einen Schraubenüberstand von 1mm am Köpfchen des MT3 ergab. Dieser Befund wurde durch eine CT Untersuchung, bei der zusätzlich eine Arthrose im Grundgelenk der Großzehe und der zweiten Zehe gefunden wurde,  bestätigt.

Zusammenfassung der vorliegenden Unterlagen

Röntgenuntersuchungen

Zusammenfassung des externen Gutachtens

Die Operation sei indiziert gewesen und sei sach-und fachgerecht ausgeführt worden.
Der Schraubenüberstand sei auf der postoperativen Aufnahme, die nicht streng seitlich gewesen sei, nicht erkennbar gewesen.
Bei der knöchernen Umstellungsoperationen an den Mittelfußknochen könne es zu Bewegungseinschränkungen kommen, die physiotherapeutisch behandelbar seien. Es sei unwahrscheinlich, dass der Schraubenübersand für die geklagten Beschwerden verantwortlich zu machen sei.

Eine fehlerhafte ärztliche Behandlung sei nicht erkennbar.

Bewertung der Haftungsfrage

Es kam  leider schicksalhaft zu einem unbefriedigenden Ergebnis einer komplexen Vorfußrekonstruktion, welches sich nicht auf eine ärztliche Fehlbehandlung zurückführen ließ.

Zurück